ホワイトニング

白い歯


★ホワイトニング

オフィス 33,000円
ホーム 35,000円
オフィス2回 60,000円(3ヶ月以内)
オフィス+ホーム 60,000円(1ヶ月以内)

毎日の食事や加齢による歯の黄ばみ、着色などを歯を削ることなく、お薬をぬることで取り除くことが出来ます。

当院では、ビヨンド・ホワイトニングシステムを採用し、約45分間で上下の歯を1度に白くする事が出来ます。(個人差はあります。)


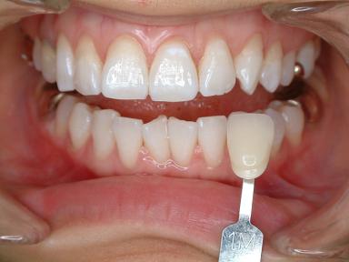
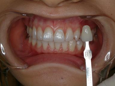
(左)ホワイトニング 施術 (右)ホワイトニング 施術


ビヨンド・ホワイトニングシステム